.

At Eastleigh Dental.

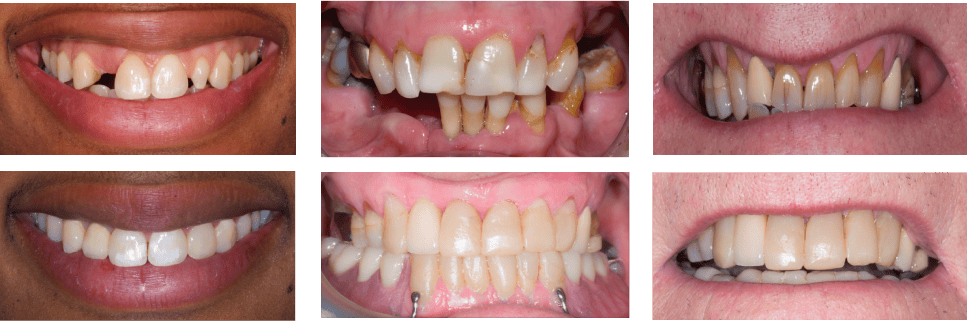
Smile Design

At Eastleigh Dental Practice, we want to achieve a smile that you’re happy with. During the consultation, we will listen to your concerns and discuss what exactly you would like to change. After examining the teeth, we will give you all the treatment options so that you can make an informed decision.

Your work will be carried out by an experienced technician, who will use the latest materials to create a natural looking smile. We will then show you your bespoke smile and the restorations will be fitted so you can enjoy your new smile straight away.

Using the latest dental materials and techniques, we can create a smile that you want!

smile design

What We Offer

veneers

Veneers

Veneers are thin porcelain facings that are bonded to the front surfaces of your teeth to change the colour, shape and size of your tooth. We may create a wax-up that will allow you to see the veneers before they are made. Any changes that you want can then be made to help you achieve the smile that you desire.

At Eastleigh Dental in Cheam, Surrey, we prioritize quality care and have invested in the latest equipment and protocols to achieve the best outcomes for our patients. With a commitment to providing personalized care, we focus on a smaller number of patients to maximize time and attention. Contact us  to secure your long-term dental health.

Logo
Scroll to Top